简介:
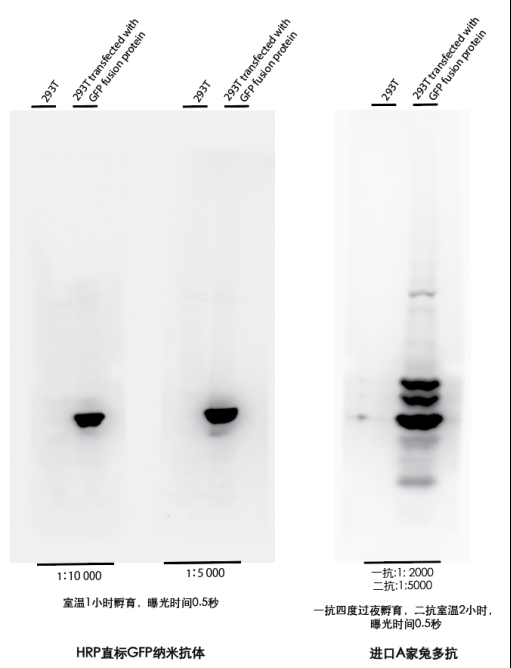
HRP辣根过氧化物酶直标GFP重组羊驼纳米抗体由高亲和力的羊驼纳米抗体共价偶联了辣根过氧化物酶,从而实现直接结合GFP蛋白,并进行化学发光反应。重组纳米抗体由发酵产生,省去了动物生产过程,保证了极高的批间一致性。纳米抗体特异性好,亲和力高,结合速度快,直标抗体省去了一抗孵育-洗涤-二抗孵育-洗涤的步骤,纳米抗体极高的亲和力使可于常温下1小时快速孵育,洗涤之后获得特异性极高的化学发光信号,可大大加速免疫化学发光的实验流程,同时提高实验结果质量。
稀释倍数:1:5000-1:10万(所示标准为测试浓度范围,具体应用的最佳稀释倍数受多种因素影响,实际使用请根据具体情况调整。)
特异性:能够直接结合GFP,EGFP,acGFP,mEGFP等绿色荧光蛋白变体
缓冲体系:20mM Hepes pH7.4, 150mM NaCl, 0.5% BSA, 0.05% Proclin300
应用场景:Western Blot,ELISA,In-Cell Western 等化学发光反应
产品特性:
· 配体GFP纳米抗体为单域抗体,分子量小,亲和力高
· 抗体亲和力极高(KD~1pM),较传统抗体结合更加快速且稳定,室温1小时孵育结合即可满足绝大部分实验需求
· HRP直标一抗, 1小时一步孵育即可完成常规需要过夜和多步洗涤孵育的过程,大大提高实验进度
· 配体GFP纳米抗体,抗体稳定(TM~55℃),兼容绝大多数实验体系和缓冲液体系
· 抗体结构稳定,不容易受到保存条件和时间影响,实验批间差异小

【储存条件及期限】
Store at +4°C short term. Store at -20°C long term. Avoid freeze / thaw cycle.